Devolviendo salud & sonrisas | Consultorio dental en villahermosa, tabasco, mx

Servicios
Nuestra cartera de servicios y tratamientos son los siguientes:
- Consulta
- Limpieza dental
- Resinas dentales
- Extraccion dental
- Protesis dental
- Cirugia de muelas del juicio
- Corona dental
- Carilla dental
- Brackets
- Incrustacion dental
- Elevación de margen profundo
- Implante dental
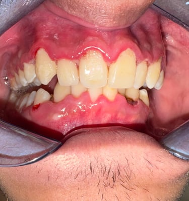
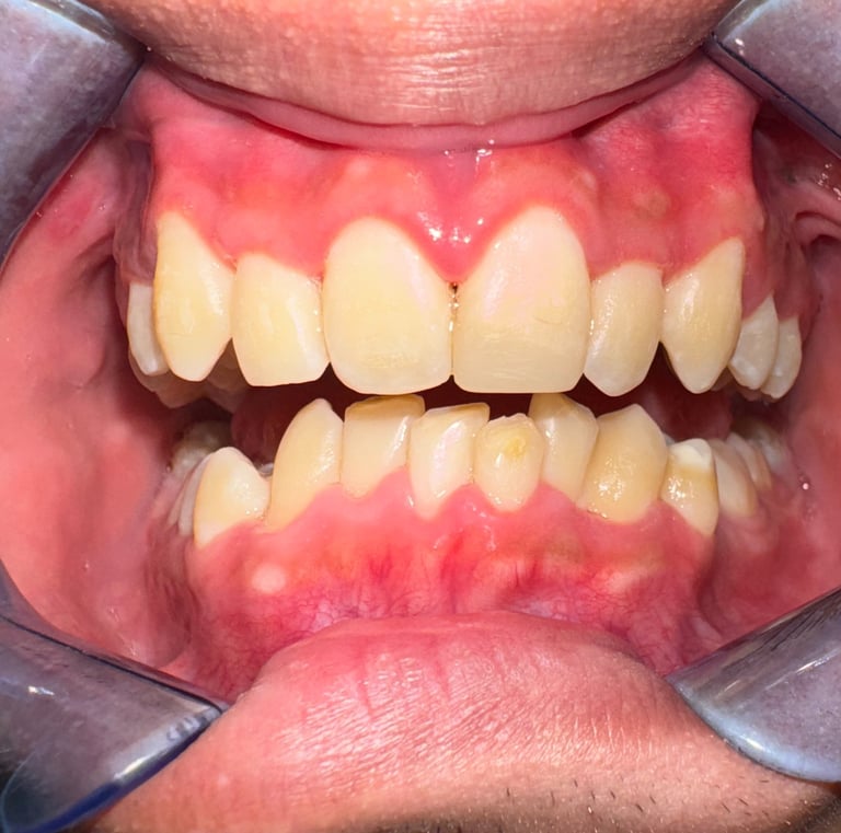
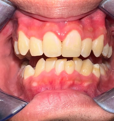
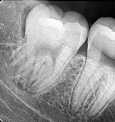
Nuestra Galería
Momentos capturados









